Αρθρίτιδα Αγκώνα

Αρθρίτιδα αγκώνα – Συμπτώματα, αίτια και θεραπείες

Η αρθρίτιδα του αγκώνα είναι λιγότερο συχνή σε σχέση με άλλες αρθρώσεις (π.χ. γόνατο, ισχίο), ωστόσο όταν εμφανιστεί μπορεί να επηρεάσει σημαντικά την καθημερινότητα. Πρόκειται για φθορά ή φλεγμονή του αρθρικού χόνδρου, που οδηγεί σε πόνο, δυσκαμψία και απώλεια λειτουργικότητας.

Αίτια

Υπάρχουν διάφοροι τύποι αρθρίτιδας που μπορεί να επηρεάσουν τον αγκώνα:

  • Οστεοαρθρίτιδα:
    • Προκαλείται από χρόνια φθορά του χόνδρου, συνήθως μετά από τραυματισμούς ή χρόνια υπερφόρτιση.
    • Συχνότερη σε άτομα που χρησιμοποιούν πολύ τα χέρια τους (π.χ. χειρωνακτική εργασία, αθλητές ρίψεων).
  • Ρευματοειδής αρθρίτιδα:
    • Αυτοάνοσο νόσημα που προσβάλλει και τους δύο αγκώνες συμμετρικά.
    • Οδηγεί σε φλεγμονή, παραμόρφωση και απώλεια κινητικότητας.
  • Μετατραυματική αρθρίτιδα:
    • Προκύπτει μετά από κατάγματα, εξαρθρήματα ή τραυματισμούς που επηρεάζουν την άρθρωση.
  • Ουρική αρθρίτιδα (ποδάγρα) ή άλλες φλεγμονώδεις αρθρίτιδες:
    • Σπανιότερα αίτια που προκαλούν κρίσεις πόνου και φλεγμονής.

Συμπτώματα

Η αρθρίτιδα του αγκώνα εκδηλώνεται με:

  • Πόνο: στην κίνηση ή και σε ηρεμία, που επιδεινώνεται με την προσπάθεια.
  • Δυσκαμψία: δυσκολία στο άνοιγμα (έκταση) ή στο λύγισμα (κάμψη) του αγκώνα.
  • Περιορισμό κινητικότητας: δυσκολία σε καθημερινές κινήσεις όπως το ντύσιμο ή η άρση αντικειμένων.
  • Διόγκωση/πρήξιμο: λόγω φλεγμονής ή υγρού στην άρθρωση.
  • Αδυναμία: μείωση δύναμης στο κράτημα.
  • Κριγμός (τρίξιμο): ήχος/αίσθηση τριβής κατά την κίνηση.

Διάγνωση

Η διάγνωση βασίζεται σε:

  • Κλινική εξέταση από ορθοπεδικό.
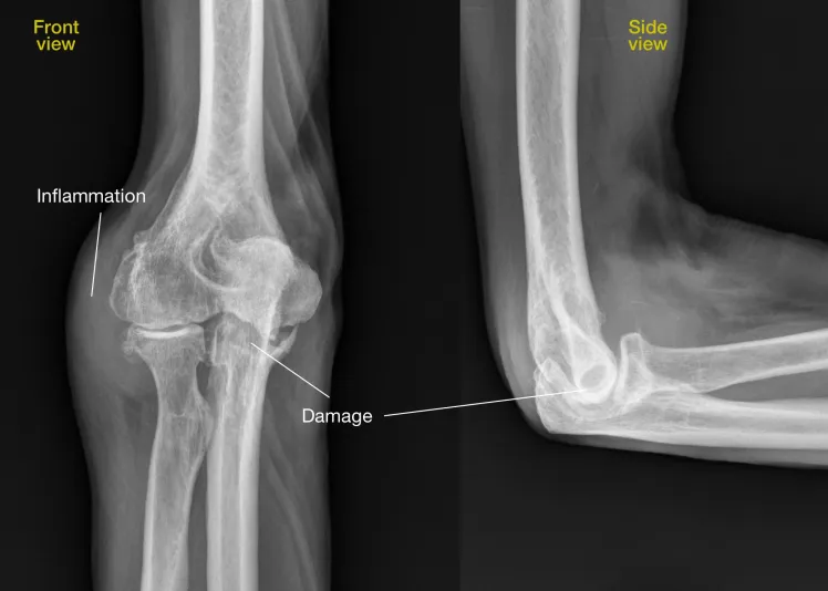
  • Ακτινογραφίες: δείχνουν φθορά χόνδρου, οστεόφυτα, στένωση αρθρικού διαστήματος.
  • Μαγνητική τομογραφία: για λεπτομερή εικόνα χόνδρου, οστών και μαλακών μορίων.
  • Αιματολογικές εξετάσεις: χρήσιμες σε ρευματοειδή ή ουρική αρθρίτιδα.

Θεραπεία

Η αντιμετώπιση εξαρτάται από το αίτιο, τη βαρύτητα των συμπτωμάτων και το στάδιο της αρθρίτιδας.

Συντηρητική θεραπεία

  • Φαρμακευτική αγωγή:
    • Αντιφλεγμονώδη (ΜΣΑΦ) για μείωση πόνου και φλεγμονής.
    • Αναλγητικά.
    • Σε ρευματοειδή αρθρίτιδα: ειδική αγωγή από ρευματολόγο (DMARDs, βιολογικοί παράγοντες).
  • Ενέσεις:
    • Κορτιζόνη για γρήγορη μείωση φλεγμονής.
    • Υαλουρονικό οξύ για λίπανση της άρθρωσης.
  • Φυσικοθεραπεία:
    • Ενδυνάμωση μυών γύρω από τον αγκώνα.
    • Ασκήσεις εύρους κίνησης.
    • Μέθοδοι ανακούφισης πόνου (π.χ. υπέρηχοι, TENS).
  • Νάρθηκες: μειώνουν την καταπόνηση της άρθρωσης.

Χειρουργική θεραπεία

Εξετάζεται όταν η συντηρητική αγωγή δεν αποδίδει:

  • Αρθροσκόπηση: καθαρισμός της άρθρωσης (αφαίρεση οστεοφύτων, ελεύθερων σωμάτων).
  • Αρθροπλαστική αγκώνα: αντικατάσταση της άρθρωσης με πρόθεση, σε σοβαρές περιπτώσεις.
  • Συγκεκριμένες οστεοτομίες ή επεμβάσεις ανακατασκευής: όταν χρειάζεται διόρθωση παραμόρφωσης.

Συμπέρασμα

Η αρθρίτιδα του αγκώνα μπορεί να περιορίσει σημαντικά την καθημερινότητα, αλλά με σωστή διάγνωση και εξατομικευμένη θεραπεία υπάρχουν πολλές επιλογές για ανακούφιση και βελτίωση της λειτουργικότητας. Η έγκαιρη αξιολόγηση από ειδικό είναι καθοριστική για να αποφευχθεί η επιδείνωση.