Ωλένια Νευρίτιδα Αγκώνα
Τι είναι; Η ωλένια νευρίτιδα αγκώνα είναι μια πάθηση που προκαλείται όταν το ωλένιο νεύρο πιέζεται ή ερεθίζεται στην περιοχή...
Τι είναι; Η ωλένια νευρίτιδα αγκώνα είναι μια πάθηση που προκαλείται όταν το ωλένιο νεύρο πιέζεται ή ερεθίζεται στην περιοχή...
Τύποι, Συμπτώματα και Θεραπεία Ο αγκώνας είναι μια σύνθετη άρθρωση που σχηματίζεται από το βραχιόνιο, την κεφαλή της κερκίδας και...
Η επικονδυλίτιδα του αγκώνα είναι μια από τις πιο συχνές αιτίες πόνου στο χέρι. Πολλοί τη γνωρίζουν και με τα...
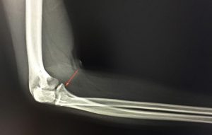
Αρθρίτιδα αγκώνα – Συμπτώματα, αίτια και θεραπείες Η αρθρίτιδα του αγκώνα είναι λιγότερο συχνή σε σχέση με άλλες αρθρώσεις (π.χ....
Δυσκαμψία Αγκώνα Η δυσκαμψία του αγκώνα εμφανίζεται όταν η άρθρωση δεν μπορεί να λυγίσει ή να τεντωθεί κανονικά. Αυτό μπορεί...