Κατάγματα Αγκώνα

Τύποι, Συμπτώματα και Θεραπεία

Ο αγκώνας είναι μια σύνθετη άρθρωση που σχηματίζεται από το βραχιόνιο, την κεφαλή της κερκίδας και την ωλένη. Τα κατάγματα στην περιοχή αυτή είναι συχνά μετά από πτώσεις ή τραυματισμούς και μπορεί να επηρεάσουν σημαντικά την κίνηση και τη λειτουργικότητα του χεριού.

Παρακάτω θα δούμε τους βασικούς τύπους καταγμάτων του αγκώνα και τις θεραπευτικές επιλογές.

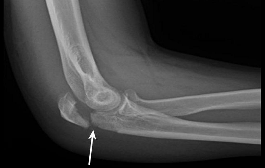
Κάταγμα Κεφαλής Κερκίδας

Η κεφαλή της κερκίδας βρίσκεται στην έξω πλευρά του αγκώνα και βοηθά στην κίνηση στροφής του αντιβραχίου.

Αίτια: συνήθως προκαλείται από πτώση στο τεντωμένο χέρι.
Συμπτώματα: πόνος στην έξω πλευρά του αγκώνα, δυσκολία στη στροφή του χεριού, πρήξιμο.

Θεραπεία:

  • Συντηρητική: Σε μικρά, μη παρεκτοπισμένα κατάγματα, ακινητοποίηση με νάρθηκα για λίγες ημέρες και γρήγορη κινητοποίηση.
  • Χειρουργική: Σε παρεκτοπισμένα ή συντριπτικα κατάγματα, μπορεί να χρειαστεί σταθεροποίηση με βίδες/πλάκες ή σε σοβαρές περιπτώσεις αφαίρεση και αντικατάσταση της κεφαλής με πρόθεση.

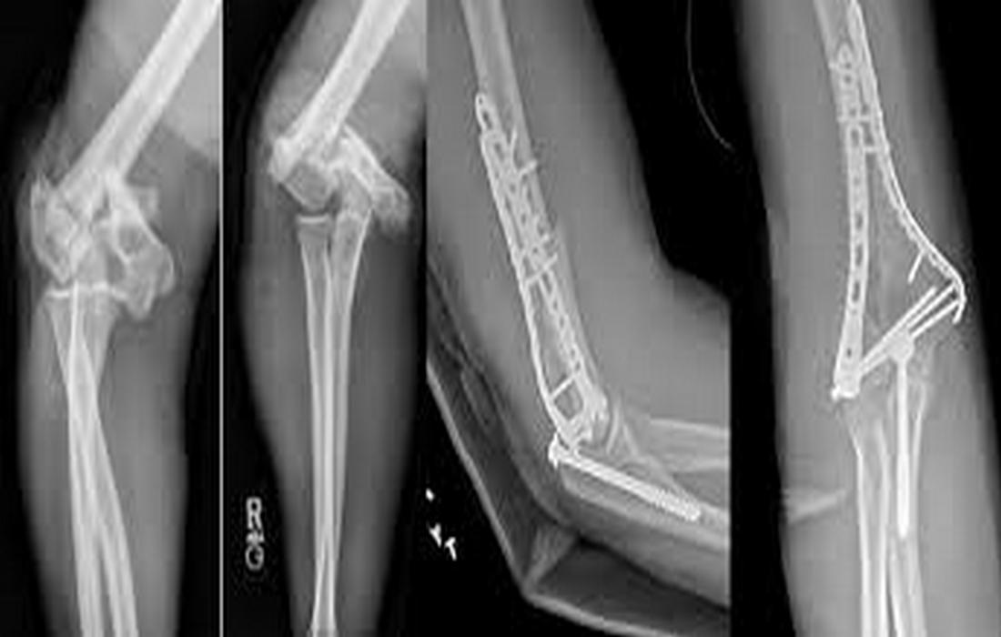
Κάταγμα Ωλεκράνου

Το ωλέκρανο είναι η “μυτερή” απόφυση που ψηλαφούμε στο πίσω μέρος του αγκώνα.

Αίτια: συχνά συμβαίνει μετά από πτώση απευθείας στον αγκώνα ή από έλξη του τρικεφάλου.
Συμπτώματα: έντονος πόνος στο πίσω μέρος, δυσκολία στην έκταση του αγκώνα, ορατή παραμόρφωση σε ορισμένες περιπτώσεις.

Θεραπεία:

  • Συντηρητική: μόνο σε σπάνια, σταθερά κατάγματα χωρίς μετατόπιση.
  • Χειρουργική: τα περισσότερα κατάγματα ωλεκράνου χρειάζονται επέμβαση, με τεχνικές όπως σύρμα-τενόντια ραφή, πλάκες και βίδες, για την αποκατάσταση της ανατομίας και της κίνησης.

Διαυπερκονδύλια Κατάγματα

Πρόκειται για κατάγματα στο κάτω άκρο του βραχιονίου, πάνω από τον αγκώνα. Είναι συχνότερα σε παιδιά αλλά μπορεί να συμβούν και σε ενήλικες.

Αίτια: πτώση σε τεντωμένο χέρι, ατυχήματα υψηλής ενέργειας.
Συμπτώματα: έντονο πρήξιμο, παραμόρφωση, αδυναμία κίνησης. Σε παιδιά υπάρχει κίνδυνος πίεσης αγγείων και νεύρων.

Θεραπεία:

  • Συντηρητική: σε σταθερά κατάγματα με γύψο.
  • Χειρουργική: σε ασταθή ή παρεκτοπισμένα κατάγματα, γίνεται οστεοσύνθεση με καρφίδες ή πλάκες/βίδες, ανάλογα με την ηλικία και τον τύπο του κατάγματος.

Χειρουργική Θεραπεία Καταγμάτων Αγκώνα

Η χειρουργική επέμβαση ενδείκνυται όταν:

  • το κάταγμα είναι παρεκτοπισμένο,
  • η άρθρωση έχει χάσει τη σωστή ανατομία της,
  • υπάρχει κίνδυνος μόνιμης δυσκαμψίας ή αστάθειας.

Οι πιο συνηθισμένες μέθοδοι είναι:

  • Οστεοσύνθεση με βίδες και πλάκες: για σταθερή αποκατάσταση του κατάγματος.
  • Σύρματα ή καρφίδες: κυρίως σε παιδιά ή σε πιο απλά κατάγματα.
  • Αρθροπλαστική (πρόθεση): σε εκτεταμένα συντριπτικα κατάγματα, ιδιαίτερα σε μεγαλύτερες ηλικίες.

Μετά την επέμβαση, ακολουθεί προσεκτική φυσικοθεραπεία, με στόχο την αποκατάσταση της κίνησης, της δύναμης και της λειτουργικότητας του αγκώνα.

Συμπέρασμα

Τα κατάγματα του αγκώνα είναι πολύπλοκα και απαιτούν εξατομικευμένη προσέγγιση. Η σωστή διάγνωση και η κατάλληλη θεραπεία – συντηρητική ή χειρουργική – εξασφαλίζουν την καλύτερη δυνατή αποκατάσταση.

👉 Εάν παρουσιάσετε τραυματισμό στον αγκώνα με πόνο, πρήξιμο ή δυσκολία κίνησης, είναι απαραίτητο να απευθυνθείτε άμεσα σε ορθοπεδικό.