Αποφυσίτιδα κνημιαίου κυρτώματος (Νόσος Osgood–Schlatter)

Η αποφυσίτιδα κνημιαίου κυρτώματος, γνωστή και ως νόσος Osgood–Schlatter, αποτελεί μία συχνή αιτία πόνου στο πρόσθιο τμήμα του γόνατος σε παιδιά και εφήβους. Εμφανίζεται κατά την αναπτυξιακή ηλικία και σχετίζεται άμεσα με τη σωματική δραστηριότητα και την άθληση.

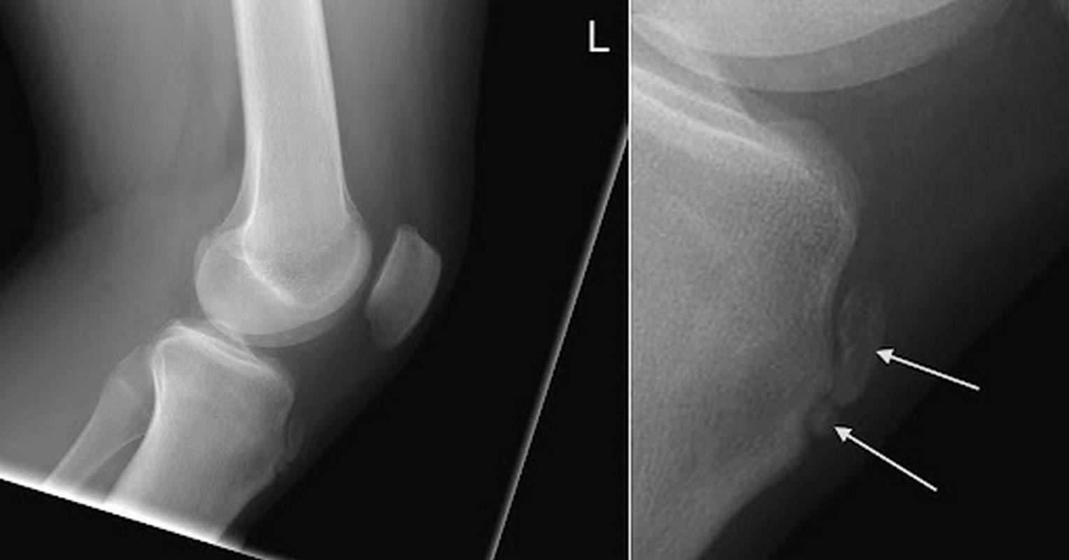
Η πάθηση εντοπίζεται στο σημείο όπου ο επιγονατιδικός τένοντας καταφύεται στο κνημιαίο κύρτωμα, δηλαδή στη μπροστινή οστική προεξοχή της κνήμης κάτω από την επιγονατίδα.

Τι προκαλεί την αποφυσίτιδα κνημιαίου κυρτώματος

Κατά την ηλικία των 10 έως 15 ετών, το κνημιαίο κύρτωμα δεν έχει ολοκληρώσει την οστική του ωρίμανση και παραμένει ευάλωτο σε μηχανικές καταπονήσεις. Ο τετρακέφαλος μυς του μηρού, μέσω του επιγονατιδικού τένοντα, ασκεί επαναλαμβανόμενη έλξη στο σημείο αυτό, ιδιαίτερα κατά το τρέξιμο, τα άλματα και τις απότομες επιταχύνσεις.

Η συνεχής καταπόνηση μπορεί να οδηγήσει σε φλεγμονή, μικροτραυματισμούς ή ακόμη και σε μικρές αποσπάσεις οστικού ιστού, προκαλώντας πόνο και τοπική ευαισθησία.

Ποιοι έφηβοι εμφανίζουν συχνότερα Osgood–Schlatter

Η αποφυσίτιδα κνημιαίου κυρτώματος εμφανίζεται κυρίως σε παιδιά και εφήβους ηλικίας 10 έως 15 ετών. Παρατηρείται συχνότερα σε αθλητές που συμμετέχουν σε αθλήματα με έντονη καταπόνηση των κάτω άκρων, όπως ποδόσφαιρο, μπάσκετ, βόλεϊ, στίβος και ενόργανη γυμναστική.

Μπορεί να προσβάλει και τα δύο γόνατα, αν και συνήθως το ένα εμφανίζει εντονότερα συμπτώματα.

Συμπτώματα της νόσου Osgood–Schlatter

Το κύριο σύμπτωμα είναι ο πόνος στο πρόσθιο τμήμα του γόνατος, ακριβώς κάτω από την επιγονατίδα. Ο πόνος επιδεινώνεται κατά τη διάρκεια ή μετά από δραστηριότητες όπως τρέξιμο, άλματα, ανέβασμα σκάλας ή γονάτισμα.

Συχνά παρατηρείται τοπική ευαισθησία και διόγκωση στο κνημιαίο κύρτωμα, καθώς και μία μικρή οστική προεξοχή που μπορεί να είναι επώδυνη στην πίεση.

Πώς γίνεται η διάγνωση

Η διάγνωση βασίζεται κυρίως στην κλινική εξέταση από τον ορθοπαιδικό, σε συνδυασμό με το ιστορικό ηλικίας και αθλητικής δραστηριότητας. Οι ακτινογραφίες χρησιμοποιούνται σε επίμονες ή άτυπες περιπτώσεις, κυρίως για τον αποκλεισμό άλλων αιτιών πόνου στο γόνατο.

Στις περισσότερες περιπτώσεις δεν απαιτούνται εξειδικευμένες απεικονιστικές εξετάσεις.

Αντιμετώπιση και θεραπεία

Η αποφυσίτιδα κνημιαίου κυρτώματος είναι καλοήθης πάθηση και υποχωρεί σταδιακά με την ολοκλήρωση της ανάπτυξης. Η αντιμετώπιση είναι συντηρητική και εξατομικευμένη.

Περιλαμβάνει περιορισμό ή τροποποίηση των δραστηριοτήτων που προκαλούν έντονο πόνο, παγοθεραπεία μετά την άσκηση και φυσικοθεραπευτικό πρόγραμμα με έμφαση στις διατάσεις του τετρακεφάλου και των οπισθίων μηριαίων, καθώς και στην ήπια ενδυνάμωση.

Σε ορισμένες περιπτώσεις βοηθούν επιγονατιδικοί ιμάντες ή στηρίγματα που μειώνουν την έλξη στο κνημιαίο κύρτωμα. Η χρήση αντιφλεγμονωδών φαρμάκων γίνεται μόνο όταν υπάρχει έντονος πόνος και πάντα με ιατρική καθοδήγηση.

Η χειρουργική αντιμετώπιση εφαρμόζεται εξαιρετικά σπάνια και αφορά κυρίως ενήλικες με χρόνια, επίμονα συμπτώματα.

Πρόγνωση

Η πρόγνωση της νόσου Osgood–Schlatter είναι εξαιρετική. Τα συμπτώματα υποχωρούν σταδιακά με την ολοκλήρωση της σκελετικής ανάπτυξης. Σε ορισμένους ενήλικες μπορεί να παραμείνει μία μικρή οστική προεξοχή στο σημείο, συνήθως χωρίς πόνο ή λειτουργικό πρόβλημα.

Συμπέρασμα

Η αποφυσίτιδα κνημιαίου κυρτώματος είναι μία συχνή αλλά μη επικίνδυνη αιτία πόνου στο γόνατο σε εφήβους, ιδιαίτερα σε όσους αθλούνται συστηματικά. Με έγκαιρη διάγνωση, σωστή καθοδήγηση από ορθοπαιδικό και προσαρμογή της αθλητικής δραστηριότητας, η αποκατάσταση είναι πλήρης και χωρίς μακροχρόνιες επιπτώσεις.