
Η ρήξη πλαγίων συνδέσμων του γόνατος αποτελεί συχνή αθλητική κάκωση, αλλά μπορεί να συμβεί και μετά από πτώση ή τροχαίο ατύχημα. Οι πλάγιοι σύνδεσμοι του γόνατος — ο έσω πλάγιος σύνδεσμος (MCL) και ο έξω πλάγιος σύνδεσμος (LCL) — διατηρούν τη σταθερότητα της άρθρωσης απέναντι σε δυνάμεις που την ωθούν προς τα μέσα ή προς τα έξω.
Όταν ένας από αυτούς τραυματιστεί ή υποστεί ρήξη, το γόνατο χάνει μέρος της σταθερότητάς του, προκαλώντας πόνο, οίδημα και αίσθημα «αστάθειας».
Τι είναι οι πλάγιοι σύνδεσμοι του γόνατος;
Ο έσω πλάγιος σύνδεσμος (MCL) βρίσκεται στην εσωτερική πλευρά του γόνατος και εμποδίζει την απόκλιση της άρθρωσης προς τα μέσα. Ο έξω πλάγιος σύνδεσμος (LCL) εντοπίζεται στην εξωτερική πλευρά και προστατεύει από δυνάμεις που ωθούν το γόνατο προς τα έξω.
Ο τραυματισμός του έσω πλαγίου συνδέσμου είναι συχνότερος, ενώ η ρήξη του έξω πλαγίου συνδέσμου συνήθως σχετίζεται με σοβαρότερες κακώσεις και συχνά συνοδεύεται από βλάβες άλλων συνδέσμων, όπως ο πρόσθιος χιαστός σύνδεσμος.
Πώς συμβαίνει η ρήξη πλαγίων συνδέσμων;
Η κάκωση των πλαγίων συνδέσμων του γόνατος παρατηρείται συχνά:
Σε αθλήματα με απότομες αλλαγές κατεύθυνσης, όπως ποδόσφαιρο, μπάσκετ και σκι.
Μετά από άμεσο χτύπημα στο πλάι του γόνατος.
Σε πτώσεις ή τροχαία ατυχήματα με στροφικό ή βίαιο φορτίο.
Η ένταση της δύναμης καθορίζει εάν πρόκειται για απλή διάταση ή για πλήρη ρήξη συνδέσμου.
Συμπτώματα ρήξης έσω ή έξω πλαγίου συνδέσμου
Τα συχνότερα συμπτώματα περιλαμβάνουν:
Πόνο στην εσωτερική ή εξωτερική πλευρά του γόνατος.
Πρήξιμο που εμφανίζεται μέσα στις πρώτες ώρες.
Αίσθημα αστάθειας, σαν να «φεύγει» ή να «λυγίζει» το γόνατο.
Δυσκολία στο βάδισμα και στην πλήρη κάμψη ή έκταση.
Σε σοβαρές περιπτώσεις, ο ασθενής αδυνατεί να στηρίξει το βάρος του στο τραυματισμένο σκέλος.
Διάγνωση ρήξης πλαγίων συνδέσμων
Η διάγνωση βασίζεται σε λεπτομερή κλινική εξέταση και, όπου απαιτείται, σε απεικονιστικό έλεγχο.
Κλινική εξέταση
Ο ορθοπαιδικός εφαρμόζει ειδικές δοκιμασίες σταθερότητας:
Valgus stress test για τον έλεγχο του έσω πλαγίου συνδέσμου.
Varus stress test για τον έλεγχο του έξω πλαγίου συνδέσμου.
Οι δοκιμασίες πραγματοποιούνται σε γωνίες κάμψης 0° και 30°, ώστε να εκτιμηθεί ο βαθμός αστάθειας. Η ευαισθησία στην ψηλάφηση κατά μήκος του συνδέσμου βοηθά στον εντοπισμό της βλάβης.
Σε πλήρη ρήξη παρατηρείται εμφανής χαλάρωση της άρθρωσης.
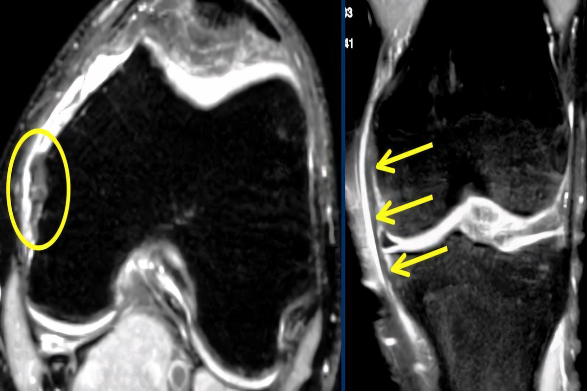
Απεικονιστικές εξετάσεις
Ακτινογραφία γόνατος για αποκλεισμό κατάγματος ή αποσπαστικής βλάβης.
Μαγνητική τομογραφία (MRI), η οποία αποτελεί την πιο αξιόπιστη εξέταση για τον καθορισμό του βαθμού ρήξης και τον έλεγχο συνοδών κακώσεων (χιαστοί σύνδεσμοι, μηνίσκοι).
Η σωστή διάγνωση καθορίζει το θεραπευτικό πλάνο.
Βαθμοί ρήξης πλαγίων συνδέσμων
Η ρήξη διακρίνεται σε τρεις βαθμούς:
Ρήξη 1ου βαθμού
Ήπια διάταση ή μικρή ρήξη ινών χωρίς ουσιαστική αστάθεια.
Ρήξη 2ου βαθμού
Μερική ρήξη με εμφανές οίδημα, πόνο και μέτρια αστάθεια.
Ρήξη 3ου βαθμού
Πλήρης ρήξη με σημαντική αστάθεια και δυσκολία στήριξης.
Θεραπεία ρήξης πλαγίων συνδέσμων γόνατος
Η θεραπεία εξαρτάται από τον βαθμό ρήξης, την ηλικία και το επίπεδο δραστηριότητας του ασθενούς.
Συντηρητική αντιμετώπιση
Στις περισσότερες περιπτώσεις, ιδιαίτερα σε ρήξεις έσω πλαγίου συνδέσμου, η θεραπεία είναι μη χειρουργική και περιλαμβάνει:
Ανάπαυση και αποφόρτιση.
Παγοθεραπεία και ελαστική περίδεση.
Χρήση λειτουργικού νάρθηκα.
Εξειδικευμένη φυσικοθεραπεία για αποκατάσταση εύρους κίνησης και ενδυνάμωση.
Σταδιακή επιστροφή στις δραστηριότητες.
Χειρουργική αποκατάσταση
Ενδείκνυται κυρίως σε:
Πλήρεις ρήξεις (3ου βαθμού).
Πολυσυνδεσμικές κακώσεις.
Νέους και ιδιαίτερα δραστήριους ασθενείς με αυξημένες απαιτήσεις σταθερότητας.
Η επέμβαση μπορεί να περιλαμβάνει συρραφή ή ανακατασκευή του συνδέσμου.
Αποκατάσταση και πρόγνωση
Οι απλές ρήξεις πλαγίων συνδέσμων επουλώνονται συνήθως σε 6–8 εβδομάδες. Η φυσικοθεραπεία αποτελεί βασικό παράγοντα για την πλήρη λειτουργική αποκατάσταση.
Η επιστροφή στον αθλητισμό επιτρέπεται μόνο όταν έχει αποκατασταθεί πλήρως η σταθερότητα, η δύναμη και ο νευρομυϊκός έλεγχος του γόνατος.
Με έγκαιρη και σωστή αντιμετώπιση, οι περισσότεροι ασθενείς επιστρέφουν στις καθημερινές και αθλητικές δραστηριότητες χωρίς μόνιμα προβλήματα.
Συχνές Ερωτήσεις (FAQ)
Πονάει πολύ η ρήξη έσω πλαγίου συνδέσμου;
Συνήθως προκαλεί έντονο πόνο στην εσωτερική πλευρά του γόνατος, ιδιαίτερα κατά τη φόρτιση ή την πίεση της περιοχής.
Μπορεί να επουλωθεί μόνος του ο πλάγιος σύνδεσμος;
Οι περισσότερες ρήξεις έσω πλαγίου συνδέσμου επουλώνονται με συντηρητική αγωγή, εφόσον διαγνωστούν έγκαιρα.
Πότε χρειάζεται χειρουργείο;
Η χειρουργική θεραπεία ενδείκνυται κυρίως σε πλήρεις ρήξεις ή όταν συνυπάρχουν βλάβες άλλων συνδέσμων του γόνατος.
Πόσο διαρκεί η αποκατάσταση;
Η επιστροφή σε πλήρη δραστηριότητα κυμαίνεται από 6 εβδομάδες έως αρκετούς μήνες, ανάλογα με τον βαθμό της ρήξης.
Συμπέρασμα
Η ρήξη πλαγίων συνδέσμων του γόνατος είναι μια συχνή αλλά αντιμετωπίσιμη κάκωση. Η έγκαιρη διάγνωση και η σωστή καθοδήγηση από εξειδικευμένο ορθοπαιδικό διασφαλίζουν την πλήρη αποκατάσταση και την αποφυγή χρόνιας αστάθειας. Εάν παρουσιάζετε πόνο ή αίσθημα αστάθειας στο γόνατο μετά από τραυματισμό, συνιστάται άμεση ορθοπαιδική αξιολόγηση.

Previous Post
Next Post