
Η χονδροπάθεια επιγονατίδας, γνωστή και ως χονδρομαλάκυνση επιγονατίδας, αποτελεί εκφυλιστική βλάβη του αρθρικού χόνδρου στην οπίσθια επιφάνεια της επιγονατίδας. Χαρακτηρίζεται από μαλάκυνση, ινιδώσεις ή και απώλεια χόνδρου, προκαλώντας πρόσθιο πόνο στο γόνατο και λειτουργικό περιορισμό.
Πρόκειται για συχνή αιτία πόνου στο πρόσθιο διαμέρισμα του γόνατος, ιδίως σε νεαρά και δραστήρια άτομα, αλλά και σε ασθενείς με ανατομικές ιδιαιτερότητες ή μυϊκές ανισορροπίες.
Παθοφυσιολογία
Η επιγονατιδομηριαία άρθρωση δέχεται σημαντικά φορτία κατά την κάμψη του γόνατος, ιδιαίτερα σε δραστηριότητες όπως σκάλες, καθίσματα ή τρέξιμο.
Ο φυσιολογικός αρθρικός χόνδρος λειτουργεί ως ελαστικό απορροφητικό σύστημα, μειώνοντας την τριβή και κατανέμοντας ομοιόμορφα τα φορτία. Όταν όμως διαταραχθεί η μηχανική ευθυγράμμιση ή αυξηθούν τα φορτία, προκαλείται φθορά του χόνδρου, ενεργοποίηση φλεγμονωδών μηχανισμών και εμφάνιση άλγους.
Η ανώμαλη φόρτιση οδηγεί σε προοδευτική εκφύλιση, η οποία μπορεί να εξελιχθεί από απλή μαλάκυνση έως πλήρη απώλεια χόνδρου.
Συμπτώματα Χονδροπάθειας Επιγονατίδας
Τα συχνότερα συμπτώματα περιλαμβάνουν:
Πρόσθιος πόνος στο γόνατο
Πόνος στην κάθοδο σκάλας
Ενόχληση μετά από παρατεταμένη καθιστή θέση («σημείο κινηματογράφου»)
Αίσθημα τριξίματος ή κριγμού
Δυσκαμψία μετά από ακινησία
Σπανιότερα ήπιο οίδημα
Ο πόνος επιδεινώνεται σε δραστηριότητες που αυξάνουν τη φόρτιση της επιγονατιδομηριαίας άρθρωσης.
Αίτια και Παράγοντες Κινδύνου
Η χονδροπάθεια επιγονατίδας είναι πολυπαραγοντική πάθηση.
Σημαντικοί παράγοντες περιλαμβάνουν:
Αυξημένη γωνία Q
Δυσπλασία τροχιλίας
Πλατυποδία
Αδυναμία έσω πλατύ μηριαίου
Μυϊκή ανισορροπία γλουτιαίων
Υπερκαταπόνηση από αθλητικές δραστηριότητες
Παχυσαρκία
Προηγούμενοι τραυματισμοί
Η διόρθωση των μηχανικών παραγόντων αποτελεί βασικό στοιχείο της θεραπευτικής στρατηγικής.
Διάγνωση
Η διάγνωση της χονδροπάθειας επιγονατίδας βασίζεται σε κλινικά και απεικονιστικά ευρήματα.
Κλινική εξέταση
Ο ορθοπαιδικός εντοπίζει τον πρόσθιο πόνο και ελέγχει τη σταθερότητα και την τροχιά της επιγονατίδας. Ειδικά τεστ συμπίεσης επιγονατίδας μπορεί να αναπαράγουν τα συμπτώματα.
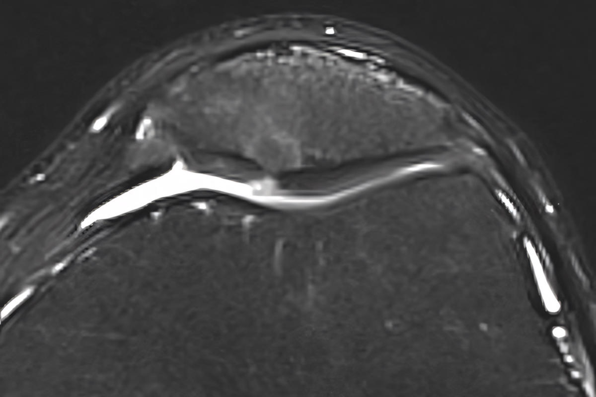
Απεικονιστικός έλεγχος
Ακτινογραφίες για αξιολόγηση ευθυγράμμισης
Μαγνητική τομογραφία (MRI) για εκτίμηση της βλάβης του χόνδρου
Αρθροσκόπηση σε επιλεγμένες περιπτώσεις
Η MRI είναι ιδιαίτερα χρήσιμη για την αξιολόγηση του βαθμού εκφύλισης.
Διεθνή Συστήματα Ταξινόμησης
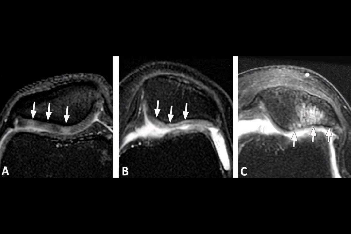
Ταξινόμηση Outerbridge
Η ταξινόμηση κατά Outerbridge αποτελεί διεθνώς αποδεκτό σύστημα εκτίμησης της βλάβης χόνδρου:
Βαθμός I: Μαλάκυνση και οίδημα χόνδρου
Βαθμός II: Επιφανειακές ρωγμές μικρής έκτασης
Βαθμός III: Βαθιές ρωγμές με ανώμαλη επιφάνεια
Βαθμός IV: Πλήρης απώλεια χόνδρου με έκθεση υποχόνδριου οστού
Η ταξινόμηση καθοδηγεί την επιλογή θεραπείας.
Άλλα συστήματα
Σε εξειδικευμένο επίπεδο χρησιμοποιούνται:
ICRS classification
Modified Noyes & Stabler classification για MRI
Θεραπεία Χονδροπάθειας Επιγονατίδας
Η αντιμετώπιση εξατομικεύεται ανάλογα με τη βαρύτητα της βλάβης.
Συντηρητική θεραπεία
Στις περισσότερες περιπτώσεις εφαρμόζεται:
Στοχευμένη φυσικοθεραπεία
Ενδυνάμωση έσω πλατύ μηριαίου
Ενίσχυση γλουτιαίων
Διατάσεις λαγονοκνημιαίας ταινίας
Τροποποίηση δραστηριοτήτων
Μη στεροειδή αντιφλεγμονώδη
Ορθωτικά πέλματα
Εγχύσεις υαλουρονικού ή PRP σε επίμονες περιπτώσεις
Η συστηματική αποκατάσταση βελτιώνει τη μηχανική λειτουργία της άρθρωσης.
Χειρουργική θεραπεία
Σε ανθεκτικές ή προχωρημένες βλάβες μπορεί να απαιτηθεί:
Αρθροσκοπικός καθαρισμός
Τεχνικές μικροκαταγμάτων
Μοσχεύματα χόνδρου
Επεμβάσεις ευθυγράμμισης επιγονατίδας
Η επιλογή εξαρτάται από τον βαθμό βλάβης και τα ανατομικά δεδομένα.
Πρόγνωση
Η πλειονότητα των ασθενών με ήπια έως μέτρια χονδροπάθεια επιγονατίδας βελτιώνεται με συντηρητική αγωγή. Η συμμόρφωση στο πρόγραμμα ενδυνάμωσης και η διόρθωση προδιαθεσικών παραγόντων είναι καθοριστικής σημασίας.
Σε προχωρημένες βλάβες (Outerbridge III–IV), ενδέχεται να απαιτηθεί χειρουργική παρέμβαση για την αποκατάσταση της λειτουργικότητας.
Συχνές Ερωτήσεις (FAQ)
Είναι η χονδροπάθεια επιγονατίδας μορφή αρθρίτιδας;
Όχι απαραίτητα. Αποτελεί εκφυλιστική βλάβη χόνδρου και μπορεί να προηγείται της οστεοαρθρίτιδας.
Μπορεί να θεραπευτεί πλήρως;
Στα αρχικά στάδια τα συμπτώματα ελέγχονται αποτελεσματικά. Σε προχωρημένες βλάβες απαιτείται εξατομικευμένη προσέγγιση.
Επιτρέπεται η άθληση;
Η άθληση προσαρμόζεται ανάλογα με τα συμπτώματα. Συνιστάται αποφυγή δραστηριοτήτων υψηλής φόρτισης.
Πότε χρειάζεται χειρουργείο;
Σε επίμονη συμπτωματολογία που δεν ανταποκρίνεται στη συντηρητική θεραπεία ή σε σοβαρές χόνδρινες βλάβες.
Συμπέρασμα
Η χονδροπάθεια επιγονατίδας αποτελεί συχνή αιτία πρόσθιου πόνου στο γόνατο. Η ταξινόμηση κατά Outerbridge βοηθά στην εκτίμηση της βαρύτητας και στην επιλογή της κατάλληλης θεραπείας. Η έγκαιρη ορθοπαιδική αξιολόγηση και η στοχευμένη αποκατάσταση συμβάλλουν στην πρόληψη περαιτέρω εκφύλισης και στη διατήρηση της λειτουργικότητας της άρθρωσης.

Previous Post