Σύνδρομο Υμενικής Πτυχής (Plica Syndrome)

Το σύνδρομο υμενικής πτυχής είναι μια συχνά υποδιαγνωσμένη αιτία πρόσθιου ή έσω πόνου στο γόνατο. Αφορά τον ερεθισμό ή την πάχυνση μιας φυσιολογικής αναδίπλωσης του αρθρικού υμένα, γνωστής ως υμενική πτυχή.

Οι υμενικές πτυχές υπάρχουν σε μεγάλο ποσοστό του πληθυσμού χωρίς να προκαλούν συμπτώματα. Όταν όμως υποστούν φλεγμονή ή επαναλαμβανόμενο μηχανικό ερεθισμό, μπορεί να οδηγήσουν σε πόνο και λειτουργική δυσκολία.

Τι είναι η υμενική πτυχή του γόνατος;

Η υμενική πτυχή αποτελεί εμβρυολογικό υπόλειμμα του αρθρικού υμένα. Υπάρχουν διάφοροι τύποι, με συχνότερη την έσω υμενική πτυχή (medial plica), η οποία λόγω της ανατομικής της θέσης μπορεί να τρίβεται στην έσω μηριαία τροχιλία ή στην επιγονατίδα.

Όταν η πτυχή παχυνθεί ή γίνει ινώδης, παύει να είναι ελαστική και αρχίζει να προκαλεί μηχανικό ερεθισμό κατά την κάμψη και έκταση του γόνατος.

Αίτια και παθογένεια του συνδρόμου υμενικής πτυχής

Το plica syndrome συνήθως σχετίζεται με επαναλαμβανόμενη μηχανική φόρτιση.

Παράγοντες που ευνοούν την εμφάνισή του:

  • Μικροτραυματισμοί του γόνατος

  • Υπερκαταπόνηση από αθλητικές δραστηριότητες

  • Παρατεταμένη γονάτιση ή επαγγελματική επιβάρυνση

  • Μυϊκές ανισορροπίες τετρακέφαλου

  • Διαταραχές ευθυγράμμισης επιγονατίδας

Η χρόνια τριβή οδηγεί σε φλεγμονή και πάχυνση της υμενικής πτυχής, με αποτέλεσμα πόνο και μηχανικά συμπτώματα.

Συμπτώματα συνδρόμου υμενικής πτυχής

Τα συμπτώματα μπορεί να μοιάζουν με άλλες παθήσεις του γόνατος, όπως χονδροπάθεια επιγονατίδας ή ρήξη μηνίσκου.

Συχνότερα αναφέρονται:

  • Πρόσθιος ή έσω πόνος στο γόνατο

  • Αίσθημα «κλικ» ή εμπλοκής

  • Επιδείνωση με σκάλες ή βαθιά καθίσματα

  • Πόνος μετά από παρατεταμένη καθιστή θέση

  • Ήπιο οίδημα ή αίσθημα βάρους

Ο πόνος συνήθως επιδεινώνεται με επαναλαμβανόμενες κινήσεις κάμψης-έκτασης.

Διάγνωση

Η διάγνωση του συνδρόμου υμενικής πτυχής βασίζεται κυρίως στην κλινική αξιολόγηση από ορθοπαιδικό.

Κλινική εξέταση

Ο ιατρός εντοπίζει ευαισθησία στην έσω πλευρά της επιγονατίδας και μπορεί να αναπαράγει τα συμπτώματα με ειδικούς χειρισμούς. Η διαφοροδιάγνωση από ρήξη μηνίσκου ή σύνδρομο επιγονατιδομηριαίου πόνου είναι απαραίτητη.

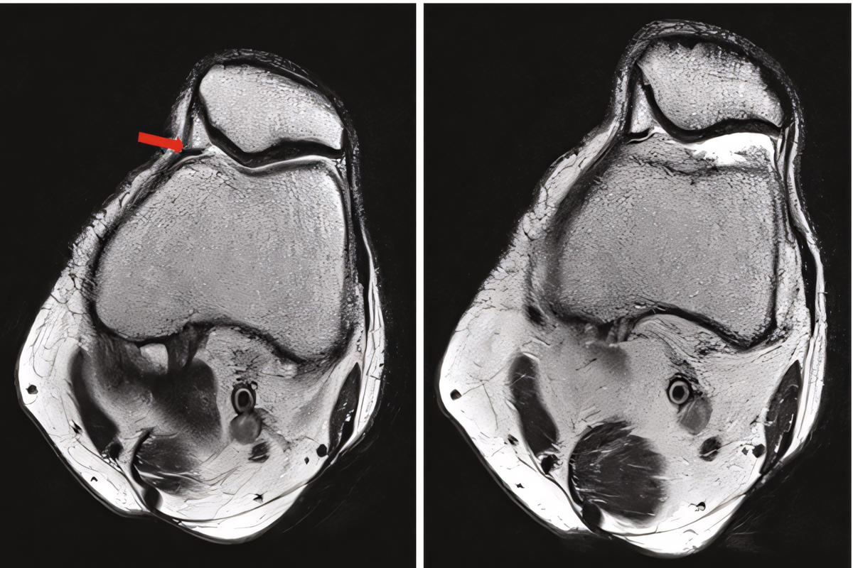
Απεικονιστικός έλεγχος

  • Μαγνητική τομογραφία (MRI) για αποκλεισμό άλλων ενδαρθρικών παθήσεων

  • Σε επιλεγμένες περιπτώσεις, η διάγνωση επιβεβαιώνεται με αρθροσκόπηση

Η MRI δεν είναι πάντα διαγνωστική για το plica syndrome, αλλά βοηθά στον αποκλεισμό άλλων αιτιών πόνου στο γόνατο.

Θεραπεία συνδρόμου υμενικής πτυχής

Η θεραπεία είναι αρχικά συντηρητική.

Συντηρητική αντιμετώπιση

Περιλαμβάνει:

  • Τροποποίηση δραστηριοτήτων

  • Ανάπαυση από επιβαρυντικές κινήσεις

  • Αντιφλεγμονώδη φαρμακευτική αγωγή

  • Στοχευμένη φυσικοθεραπεία για ενδυνάμωση τετρακέφαλου και βελτίωση ευθυγράμμισης

  • Ενέσιμες θεραπείες σε ανθεκτικές περιπτώσεις

Η πλειονότητα των ασθενών παρουσιάζει βελτίωση μέσα σε λίγες εβδομάδες.

Αρθροσκοπική αφαίρεση υμενικής πτυχής

Σε περιπτώσεις όπου τα συμπτώματα επιμένουν παρά τη συντηρητική αγωγή, ενδείκνυται αρθροσκοπική εκτομή της υμενικής πτυχής.

Η επέμβαση είναι ελάχιστα επεμβατική, με υψηλά ποσοστά επιτυχίας και ταχεία επάνοδο στις καθημερινές δραστηριότητες.

Πρόγνωση

Η πρόγνωση του συνδρόμου υμενικής πτυχής είναι εξαιρετική όταν διαγνωστεί έγκαιρα. Οι περισσότεροι ασθενείς ανταποκρίνονται στη συντηρητική θεραπεία. Η χειρουργική αντιμετώπιση προσφέρει μόνιμη λύση σε ανθεκτικές περιπτώσεις.

Εάν εμφανίζετε επίμονο πόνο στο γόνατο με αίσθημα κλικ ή εμπλοκής, συνιστάται αξιολόγηση από εξειδικευμένο ορθοπαιδικό, ώστε να τεθεί σωστή διάγνωση και να αποφευχθούν χρόνιες ενοχλήσεις.

Συχνές Ερωτήσεις (FAQ)

Τι είναι το σύνδρομο υμενικής πτυχής;

Είναι φλεγμονή ή ερεθισμός μιας φυσιολογικής αναδίπλωσης του αρθρικού υμένα στο γόνατο, που προκαλεί πόνο και μηχανικά συμπτώματα.

Είναι σοβαρή πάθηση;

Συνήθως όχι. Αντιμετωπίζεται επιτυχώς με συντηρητική θεραπεία στις περισσότερες περιπτώσεις.

Χρειάζεται πάντα χειρουργείο;

Όχι. Η αρθροσκόπηση ενδείκνυται μόνο όταν τα συμπτώματα επιμένουν παρά τη σωστή συντηρητική αγωγή.

Μπορεί να υποτροπιάσει;

Εάν δεν διορθωθούν οι προδιαθεσικοί παράγοντες, όπως οι μυϊκές ανισορροπίες, τα συμπτώματα μπορεί να επανεμφανιστούν.