Εξάρθρημα Επιγονατίδας

Εξάρθρημα Επιγονατίδας

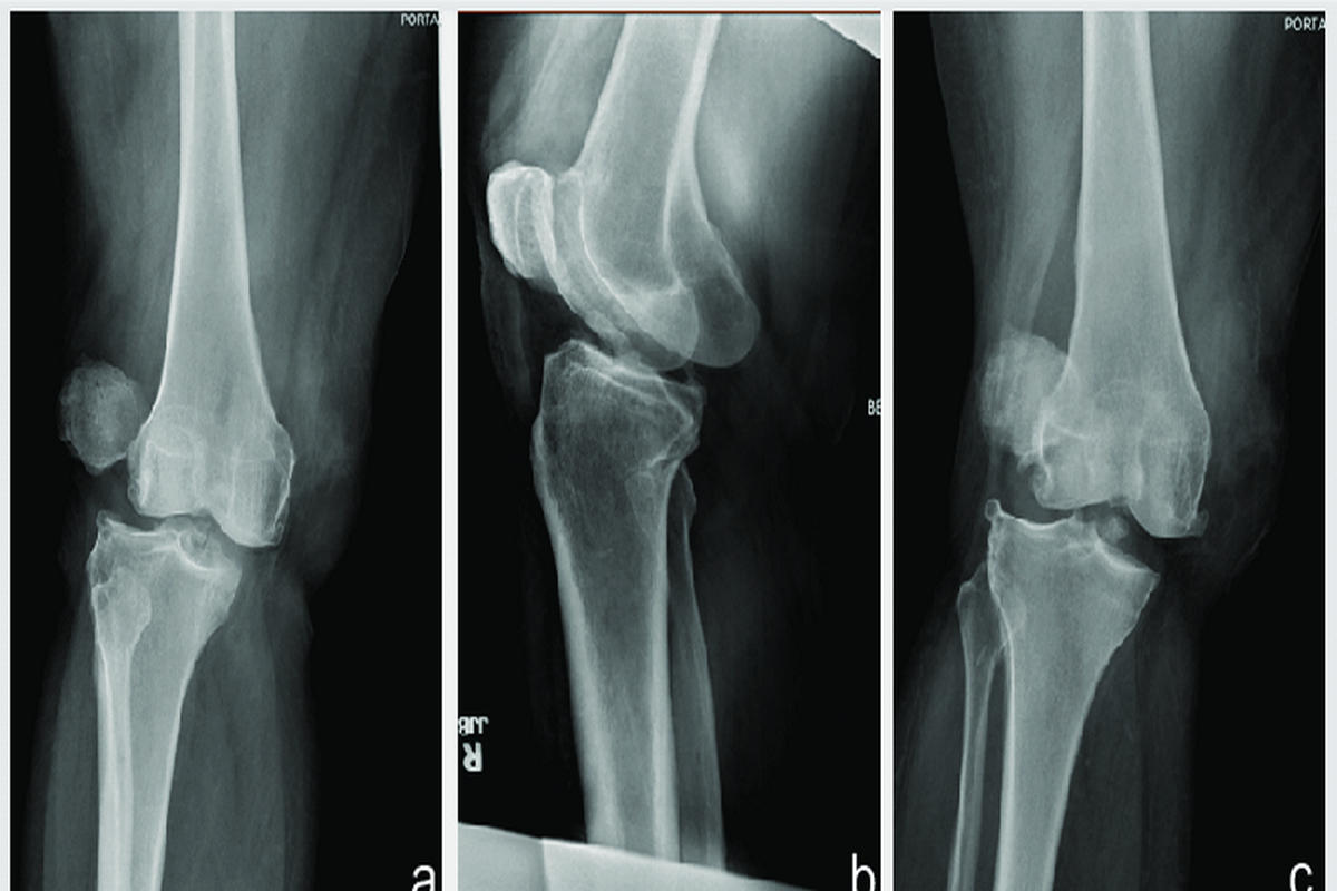
Το εξάρθρημα επιγονατίδας αποτελεί μία συχνή ορθοπαιδική κάκωση του γόνατος, ιδιαίτερα σε νεαρούς ασθενείς και αθλητές. Χαρακτηρίζεται από την απώλεια της φυσιολογικής ανατομικής σχέσης της επιγονατίδας με την τροχιλία του μηριαίου οστού και στις περισσότερες περιπτώσεις συμβαίνει προς τα έξω, προκαλώντας έντονο πόνο και αίσθημα αστάθειας.

Το εξάρθρημα μπορεί να είναι οξύ (πρώτο επεισόδιο), υποτροπιάζον ή χρόνιο, ανάλογα με τη συχνότητα και τους προδιαθεσικούς παράγοντες.

Κλινική εικόνα και συμπτώματα

Κατά τον τραυματισμό, οι ασθενείς περιγράφουν συνήθως οξύ άλγος στο γόνατο, συνοδευόμενο από εμφανή παραμόρφωση λόγω πλάγιας μετατόπισης της επιγονατίδας. Συχνά εμφανίζεται οίδημα και ενδαρθρική αιμορραγία (αιμάρθρο), με αποτέλεσμα σημαντικό περιορισμό της κινητικότητας και αδυναμία φόρτισης του σκέλους.

Σε περιπτώσεις υποτροπών, κυρίαρχο σύμπτωμα είναι το αίσθημα αστάθειας ή ότι «φεύγει το γόνατο», ακόμη και σε απλές κινήσεις.

Παθοφυσιολογία και αίτια

Το εξάρθρημα επιγονατίδας μπορεί να προκληθεί είτε από άμεσο μηχανισμό, όπως πλήγμα στην πρόσθια επιφάνεια του γόνατος, είτε από έμμεσο μηχανισμό, συνήθως κατά τη στροφή του γόνατος με το πόδι σε φόρτιση.

Υπάρχουν συγκεκριμένοι ανατομικοί και λειτουργικοί παράγοντες που αυξάνουν τον κίνδυνο εμφάνισης εξαρθρήματος. Σε αυτούς περιλαμβάνονται η γενικευμένη χαλαρότητα συνδέσμων, η δυσπλασία της τροχιλίας του μηριαίου, η υψηλή θέση της επιγονατίδας (patella alta), η αυξημένη γωνία Q, καθώς και το ιστορικό προηγούμενου εξαρθρήματος.

Διάγνωση

Η διάγνωση βασίζεται αρχικά στην κλινική εξέταση, όπου διαπιστώνεται η παραμόρφωση, η ευαισθησία και το αιμάρθρο. Οι ακτινογραφίες γόνατος είναι απαραίτητες για τον αποκλεισμό καταγμάτων και την εκτίμηση της θέσης της επιγονατίδας.

Η μαγνητική τομογραφία γόνατος αποτελεί σημαντικό διαγνωστικό εργαλείο, καθώς επιτρέπει την αξιολόγηση της ρήξης του έσω επιγονατιδομηριαίου συνδέσμου (MPFL), καθώς και πιθανών χόνδρινων ή οστεοχόνδρινων βλαβών.

Αντιμετώπιση και θεραπεία

Η επιλογή της θεραπείας εξαρτάται από το αν πρόκειται για πρώτο επεισόδιο ή για υποτροπιάζον εξάρθρημα, καθώς και από την παρουσία συνοδών βλαβών.

Στο πρώτο εξάρθρημα, όταν δεν συνυπάρχουν σοβαρές χόνδρινες ή οστεοχόνδρινες κακώσεις, η αντιμετώπιση είναι συντηρητική. Περιλαμβάνει κλειστή ανάταξη του εξαρθρήματος, ακινητοποίηση με λειτουργικό νάρθηκα για περίπου τρεις έως τέσσερις εβδομάδες και στη συνέχεια φυσικοθεραπεία με έμφαση στην ενδυνάμωση του έσω πλατέος μηριαίου μυός (VMO) και στη βελτίωση της μυϊκής ισορροπίας.

Η χειρουργική αντιμετώπιση ενδείκνυται σε περιπτώσεις επανειλημμένων εξαρθρημάτων, σε αποδεδειγμένη ρήξη του MPFL ή όταν υπάρχουν σημαντικές οστεοχόνδρινες βλάβες. Οι επεμβάσεις μπορεί να περιλαμβάνουν ανακατασκευή του MPFL, τροχιλιοπλαστική ή οστεοτομίες του κνημιαίου κυρτώματος, ανάλογα με την ανατομία και τις ανάγκες του ασθενούς.

Πρόγνωση και πρόληψη

Η πρόγνωση του εξαρθρήματος επιγονατίδας είναι γενικά καλή, εφόσον η αντιμετώπιση είναι σωστή και εξατομικευμένη. Ωστόσο, το ποσοστό υποτροπών μετά από πρώτο εξάρθρημα μπορεί να φτάσει το 30–40%.

Η σωστή αποκατάσταση, η ενδυνάμωση των μυών του μηρού και η προσαρμογή της αθλητικής δραστηριότητας αποτελούν βασικά στοιχεία πρόληψης και μείωσης του κινδύνου επανεμφάνισης

Συχνές Ερωτήσεις (FAQ)

Είναι επικίνδυνο το εξάρθρημα επιγονατίδας;

Συνήθως όχι, αλλά μπορεί να προκαλέσει υποτροπές και χόνδρινες βλάβες αν δεν αντιμετωπιστεί σωστά.

Χρειάζεται πάντα χειρουργείο;

Όχι. Στο πρώτο επεισόδιο, χωρίς συνοδές βλάβες, η συντηρητική θεραπεία είναι συνήθως επαρκής.

Πόσος χρόνος χρειάζεται για αποκατάσταση;

Η επιστροφή στις καθημερινές δραστηριότητες γίνεται συνήθως σε 6–8 εβδομάδες, ενώ η πλήρης επιστροφή στην άθληση απαιτεί περισσότερο χρόνο.

Υπάρχει κίνδυνος να ξανασυμβεί;

Ναι, ειδικά σε άτομα με ανατομικούς προδιαθεσικούς παράγοντες ή ανεπαρκή αποκατάσταση.

Τι μπορώ να κάνω για να το προλάβω;

Σωστή μυϊκή ενδυνάμωση, καλή τεχνική στην άσκηση και αποφυγή απότομων κινήσεων χωρίς προθέρμανση.