
Κατάγματα Γόνατος: Τι πρέπει να γνωρίζετε
Το γόνατο αποτελεί μία από τις πιο σύνθετες και λειτουργικά σημαντικές αρθρώσεις του ανθρώπινου σώματος. Συμμετέχουν το κάτω άκρο του μηριαίου οστού, το άνω άκρο της κνήμης και η επιγονατίδα, ενώ η σταθερότητα εξασφαλίζεται από συνδέσμους, μηνίσκους και μυϊκές ομάδες.
Τα κατάγματα στην περιοχή του γόνατος θεωρούνται σοβαροί τραυματισμοί, καθώς μπορούν να επηρεάσουν τη λειτουργικότητα της άρθρωσης, την κινητικότητα και τη μελλοντική εμφάνιση αρθρίτιδας.
Διαϋπερκονδύλια κατάγματα μηριαίου
Τα διαϋπερκονδύλια κατάγματα εντοπίζονται στο κατώτερο άκρο του μηριαίου οστού, ακριβώς πάνω από την άρθρωση του γόνατος.
Συνήθως προκαλούνται από τραυματισμούς υψηλής ενέργειας, όπως τροχαία ατυχήματα ή πτώσεις από ύψος. Σε ηλικιωμένους ασθενείς με οστεοπόρωση, μπορεί να εμφανιστούν ακόμη και μετά από χαμηλής ενέργειας κάκωση.
Οι ασθενείς παρουσιάζουν έντονο πόνο, οίδημα, αδυναμία στήριξης του σκέλους και συχνά εμφανή παραμόρφωση. Η διάγνωση γίνεται με ακτινογραφίες, ενώ η αξονική τομογραφία είναι απαραίτητη για την ακριβή εκτίμηση της γραμμής και της πολυπλοκότητας του κατάγματος.
Η θεραπεία είναι κατά κανόνα χειρουργική και περιλαμβάνει οστεοσύνθεση με πλάκες και βίδες ή ενδομυελικούς ήλους, με στόχο την ανατομική ανάταξη και τη σταθερότητα. Συντηρητική αγωγή εφαρμόζεται σπάνια και μόνο σε ασθενείς που δεν μπορούν να υποβληθούν σε χειρουργείο.
Πιθανές επιπλοκές είναι η μη πώρωση, η δυσκαμψία του γόνατος και η ανάπτυξη μετατραυματικής αρθρίτιδας.
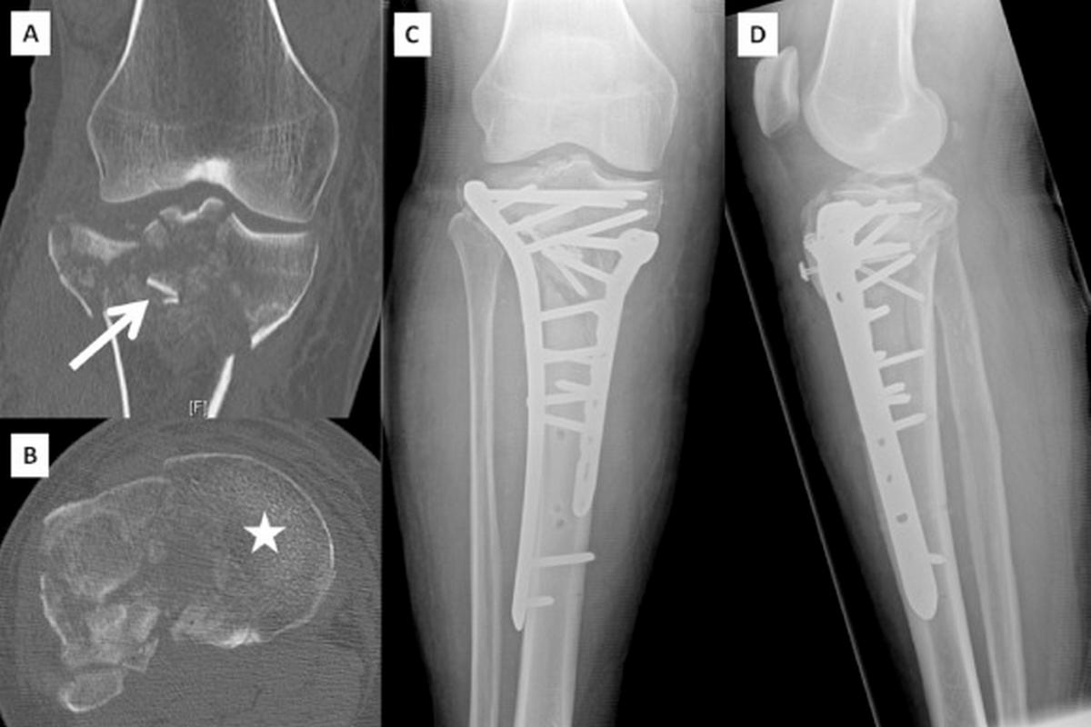
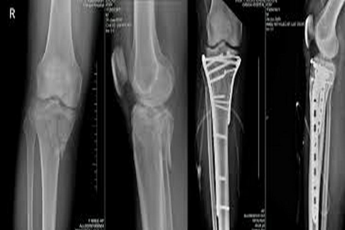
Κατάγματα κνημιαίων κονδύλων
Τα κατάγματα κνημιαίων κονδύλων αφορούν την άνω επιφάνεια της κνήμης, η οποία συμμετέχει άμεσα στη διαμόρφωση της άρθρωσης του γόνατος.
Εμφανίζονται συχνά μετά από τροχαία ατυχήματα, αθλητικούς τραυματισμούς ή πτώσεις. Τα συμπτώματα περιλαμβάνουν πόνο, οίδημα, δυσκολία στην κίνηση και συχνά αιμάρθρο.
Ιδιαίτερη σημασία έχουν οι συνοδές βλάβες σε μηνίσκους και συνδέσμους, οι οποίες επηρεάζουν την πρόγνωση. Εκτός από τις ακτινογραφίες, σχεδόν πάντα απαιτείται αξονική τομογραφία για λεπτομερή χαρτογράφηση του κατάγματος.
Μη παρεκτοπισμένα κατάγματα μπορούν να αντιμετωπιστούν συντηρητικά με ακινητοποίηση, αποφόρτιση και σταδιακή κινητοποίηση. Παρεκτοπισμένα ή ενδοαρθρικά κατάγματα απαιτούν χειρουργική ανάταξη και σταθεροποίηση με πλάκες ή βίδες. Η φυσικοθεραπεία είναι απαραίτητη για την πρόληψη δυσκαμψίας και δευτερογενούς αρθρίτιδας.
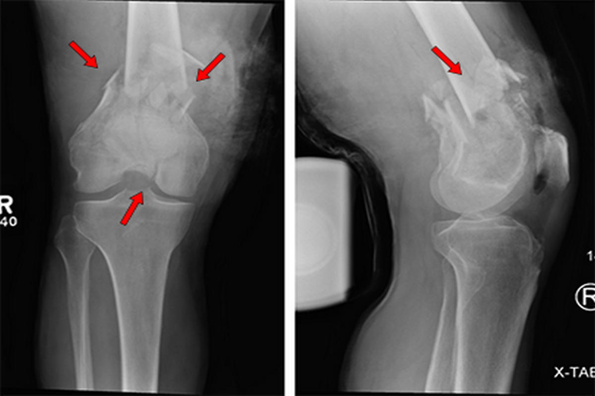
Κατάγματα επιγονατίδας
Η επιγονατίδα είναι το πρόσθιο οστό του γόνατος και λειτουργεί ως μοχλός για τον τετρακέφαλο μυ. Τα κατάγματα επιγονατίδας προκαλούνται συνήθως από άμεσο χτύπημα στο γόνατο ή από έντονη έλξη του τετρακέφαλου μυός.
Οι ασθενείς εμφανίζουν πόνο, οίδημα και αδυναμία έκτασης του γόνατος. Η διάγνωση γίνεται με ακτινογραφίες και, όταν χρειάζεται, με αξονική τομογραφία.
Μη παρεκτοπισμένα κατάγματα αντιμετωπίζονται συντηρητικά με ακινητοποίηση του γόνατος σε έκταση για τέσσερις έως έξι εβδομάδες. Τα παρεκτοπισμένα κατάγματα απαιτούν χειρουργική αποκατάσταση, συνήθως με τεχνική tension band, βίδες ή, σπανιότερα, μερική ή ολική αφαίρεση της επιγονατίδας.
Διαγνωστική προσέγγιση στα κατάγματα γόνατος
Η σωστή διάγνωση βασίζεται στην κλινική εξέταση και στον απεικονιστικό έλεγχο. Εκτιμάται η παραμόρφωση, ο πόνος, το οίδημα, η κινητικότητα και η ικανότητα στήριξης, καθώς και η αιμάτωση και η νευρική λειτουργία του κάτω άκρου.
Οι ακτινογραφίες σε δύο προβολές αποτελούν τη βασική εξέταση, ενώ η αξονική τομογραφία είναι καθοριστική στα ενδοαρθρικά κατάγματα. Η μαγνητική τομογραφία χρησιμοποιείται όταν υπάρχει υποψία συνοδών βλαβών σε χόνδρο, συνδέσμους ή μηνίσκους.
Αποκατάσταση και ανάρρωση
Η αποκατάσταση μετά από κάταγμα γόνατος είναι εξίσου σημαντική με την αρχική θεραπεία. Περιλαμβάνει φυσικοθεραπεία για την αποφυγή δυσκαμψίας και μυϊκής ατροφίας, καθώς και σταδιακή φόρτιση του σκέλους ανάλογα με τη σταθερότητα της οστεοσύνθεσης.
Η πλήρης αποκατάσταση μπορεί να απαιτήσει τρεις έως έξι μήνες ή και περισσότερο, ανάλογα με το είδος του κατάγματος και τα ατομικά χαρακτηριστικά του ασθενούς.
Συμπέρασμα
Τα κατάγματα γύρω από το γόνατο είναι σοβαροί τραυματισμοί που απαιτούν εξειδικευμένη ορθοπαιδική αντιμετώπιση. Η έγκαιρη διάγνωση, η σωστή θεραπεία και η επιμελής αποκατάσταση είναι καθοριστικές για τη διατήρηση της κινητικότητας και της ποιότητας ζωής.
Συχνές Ερωτήσεις (FAQ)
Είναι όλα τα κατάγματα γόνατος χειρουργικά;
Όχι. Μη παρεκτοπισμένα και σταθερά κατάγματα μπορούν σε ορισμένες περιπτώσεις να αντιμετωπιστούν συντηρητικά.
Πόσο καιρό θα χρειαστώ για να περπατήσω;
Η βάδιση εξαρτάται από το είδος του κατάγματος και τη θεραπεία. Σε αρκετές περιπτώσεις επιτρέπεται μερική φόρτιση μέσα στις πρώτες εβδομάδες.
Υπάρχει κίνδυνος αρθρίτιδας στο μέλλον;
Ναι, ιδιαίτερα σε ενδοαρθρικά κατάγματα ή όταν η ανάταξη δεν είναι ανατομική.
Είναι απαραίτητη η φυσικοθεραπεία;
Ναι. Η φυσικοθεραπεία είναι βασικό στοιχείο για την αποκατάσταση της κινητικότητας και της μυϊκής δύναμης.
Πότε επιστρέφω στις καθημερινές δραστηριότητες;
Συνήθως μετά από 3–6 μήνες, ανάλογα με τη βαρύτητα του κατάγματος και την πρόοδο της αποκατάστασης.

Previous Post
Next Post